-
親知らずの虫歯トラブルをスピード解消。CT診断に基づいた安全な抜歯症例


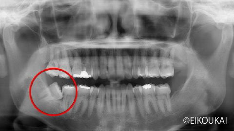
治療内容 汚れが溜まり、虫歯があり右下の親知らずを抜歯しました。 金額 埋伏抜歯5,120円 CT 4,400円 治療期間 1日 通院回数 1回 リスク/副作用 抜歯後にしびれが出ることや、まれに腫れや痛みが長引くことがあります。
ご予約.お問合せ
〒157-0073 東京都世田谷区砧8丁目10−1
小田急線「祖師ヶ谷大蔵駅」南口 徒歩10秒


| 治療内容 | 汚れが溜まり、虫歯があり右下の親知らずを抜歯しました。 |
|---|---|
| 金額 | 埋伏抜歯5,120円 CT 4,400円 |
| 治療期間 | 1日 |
| 通院回数 | 1回 |
| リスク/副作用 | 抜歯後にしびれが出ることや、まれに腫れや痛みが長引くことがあります。 |
〒157-0073 東京都世田谷区砧8丁目10−1
小田急線「祖師ヶ谷大蔵駅」南口 徒歩10秒