-
前歯4本をジルコニアクラウンでトータルケア。短期間で整える審美治療


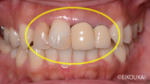
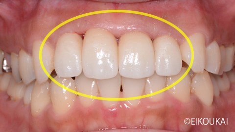
治療内容 上の前歯4本の色や形を整えるために治療を行いました。
高い強度・耐久性を持つジルコニアで、短期間で統一感のある口元へ改善しています。金額 上12-22 ジルコニアクラウン 431,200円 治療期間 1ヶ月 通院回数 5回 リスク/副作用 強い噛み合わせ、歯軋りや食いしばりが続くと割れる可能性あり。
ご予約.お問合せ
〒157-0073 東京都世田谷区砧8丁目10−1
小田急線「祖師ヶ谷大蔵駅」南口 徒歩10秒


| 治療内容 | 上の前歯4本の色や形を整えるために治療を行いました。 高い強度・耐久性を持つジルコニアで、短期間で統一感のある口元へ改善しています。 |
|---|---|
| 金額 | 上12-22 ジルコニアクラウン 431,200円 |
| 治療期間 | 1ヶ月 |
| 通院回数 | 5回 |
| リスク/副作用 | 強い噛み合わせ、歯軋りや食いしばりが続くと割れる可能性あり。 |
〒157-0073 東京都世田谷区砧8丁目10−1
小田急線「祖師ヶ谷大蔵駅」南口 徒歩10秒